به گزارش خبرگزاری تسنیم از گرگان، غلامرضا روشندل امروز در نشست خبری، با اشاره به دستاوردهای یک سال اخیر، اظهار کرد: در ارزشیابی سال گذشته، رتبه تحقیقات و فناوری دانشگاه علوم پزشکی گلستان از میان 68 دانشگاه علوم پزشکی کشور، 32 بود که این رتبه در ارزیابی امسال به 25 رسیده است.
معاون تحقیقات و فناوری دانشگاه علوم پزشکی گلستان افزود: حتی در برخی شاخصها به جایگاههای تک رقمی و نخست کشوری دست یافتهایم. به عنوان مثال، در حوزه اخلاق در پژوهش رتبه اول کشور را کسب کردهایم که نشاندهنده پایبندی به استانداردهای اخلاقی در تولید علم است.
وی از راهاندازی دو پژوهشکده در یک سال اخیر خبر داد و گفت: هدف از ایجاد این پژوهشکدهها، گردهم آوردن مراکز تحقیقاتی مختلف برای تمرکز بر حل مشکلات اصلی سلامت استان مانند سرطان، سل و سالک است. ماموریت آنها انجام پژوهشهای کاربردی است که نتایجش مبنای تصمیمگیری سیاستگذاران قرار گیرد.
روشندل از تعریف پروژههای کلان در دانشگاه برای اولین بار خبر داد و افزود: با فراخوانی که اعلام کردیم، توانمندی خوبی در دانشگاه مشاهده شد و موضوعاتی مانند روشهای نوین درمان سرطان پیشنهاد و تصویب شده که امیدواریم تا سال آینده دستاوردهای کاربردی آنها نمایان شود.
وی به برنامههای بینالمللیسازی اشاره کرد و گفت: با اساتید ایرانی شاغل در دانشگاههای معتبر دنیا ارتباط علمی برقرار کردهایم. همچنین با نمایه شدن مجله علوم پزشکی گرگان»در پایگاه بینالمللی اسکوپوس در سال 1404، دستاورد بزرگی کسب شد. این در حالی است که تنها 7 مجله از کل کشور در این سال به این پایگاه راه یافتهاند. پیش از این نیز مجله پرستاری و مامای» دانشگاه در اسکوپوس نمایه شده بود و یک مجله دیگر نیز به رتبه علمی- پژوهشی ارتقا یافته است.
معاون تحقیقات و فناوری دانشگاه علوم پزشکی گلستان تاکید کرد: ما به سمت دانشگاههای نسل 3 و 4 که علاوه بر تولید علم، به خلق ثروت و کارآفرینی میپردازند، در حرکت هستیم. در حوزه فناوری و ارتباط با صنعت، امسال سه تیم استارتآپی فعال شده که دو تیم به واحد فناور ارتقا یافتهاند. همچنین با 4 واحد صنعتی استان قرارداد همکاری منعقد کردهایم و همایش ارتباط با صنعت نیز به زودی برگزار میشود.
وی از ثبت 4 اختراع در سال جاری خبر داد که یکی از آنها گواهی اختراع دریافت کرده و مابقی در مرحله داوری هستند. همچنین راهاندازی پارک علم و فناوری سلامت در دانشگاه نیز یکی از موضوعاتی است که میتواند جهشی بزرگ در حوزه فناوری ایجاد کند.
روشندل تقویت آزمایشگاه جامع تحقیقات را از اولویتهای سرمایهگذاری دانست و افزود: برای تشخیص زودهنگام و انتخاب درمان موثر سرطان، به آزمایشهای تخصصی نیاز است که متاسفانه برخی از آنها در استان انجام نمیشود و بیماران مجبور به مراجعه به تهران هستند. ما با استفاده از ظرفیت خیران سلامت در پی تجهیز این آزمایشگاه به دستگاههای فوق تخصصی هستیم تا این مشکل مردم استان رفع شود.
وی از رشد قابل توجه تحقیقات دانشجویی به عنوان موتور محرکه پژوهش تقدیر کرد و گفت: کمیته تحقیقات دانشجویی دانشگاه مورد تقدیر وزارت بهداشت قرار گرفته است. پیشبینی میشود تعداد طرحهای تحقیقاتی مصوب دانشگاه از 500 به 600 طرح در سال افزایش یابد و روند نزولی انتشار مقالات بینالمللی متوقف و سیر صعودی از سال آینده آغاز شود.
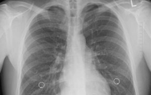
معاون تحقیقات و فناوری دانشگاه گلستان با اشاره به نتایج یکی از پژوهشها در زمینه سرطان گفت: این پژوهش با همکاری انستیتو سرطان دانشگاه علوم پزشکی تهران و به صورت مطالعه مورد- شاهدی چندمرکزی انجام شده است که مطالعه روی 627 بیمار مبتلا به سرطان ریه از 10 استان کشور انجام شد.
وی خاطرنشان کرد: مصرف منظم تریاک، خطر ابتلا به سرطان ریه را 3.6 برابر افزایش میدهد و در صورت مصرف همزمان تریاک و سیگار، خطر ابتلا به 13 برابر میرسد. افرادی که دو بار یا بیشتر در روز تریاک مصرف میکنند، 9 برابر بیشتر در معرض خطر هستند.
روشندل با اشاره به اینکه تریاک دارو نیست و یک ماده سرطانزاست، بیان کرد: این پژوهش نشان داد که اثر مخرب تریاک در زنان بارزتر است و خطر ابتلا در آنها 7 برابر افزایش مییابد. خطر آن به تنهایی بسیار بالاست و مصرف مشترک با سیگار، خطر را به طور نجومی افزایش میدهد.
وی عنوان کرد: سرطان ریه یکی از پنج سرطان کشنده در جهان است. به دلیل تهاجمی بودن، زمان کمی برای درمان باقی میگذارد و متاسفانه بسیاری از بیماران در سالهای اول فوت میکنند. میزان ابتلا در بخش مردان حدود 12.7 در هر صد هزار نفر و در میان زنان رقمی کمتر از مردان است. در استان گلستان اما میزان شیوع این بیماری بالاتر است و در مردان میزان ابتلا 21.3 در هر صد هزار نفر (بسیار بالاتر از میانگین کشوری) و در میان زنان 5.21 در هر صد هزار نفر است.
روشندل با اشاره به عوامل خطر شناخته شده سرطان ریه گفت: مصرف سیگار (ریسک بسیار بالا)، در معرض دود سیگار بودن، مصرف الکل و نوشیدنیهای الکلی، مواجهه شغلی با تشعشعات (مثل برخی محیطهای بیمارستانی یا صنعتی)، آلودگی هوا و آب، تریاک (به عنوان یک عامل خطر مهم و خاص در کشور) است.
انتهای پیام/

ارسال نظر شما
مجموع نظرات : 0 در انتظار بررسی : 0 انتشار یافته : 0